3.4
Patogenita plaku v etiologii zubního kazu
Zubní kaz není dědičné onemocnění, nýbrž onemocnění infekční. Dodnes je uznávaná chemicko-parazitární teorie vyslovená W. D. Millerem [11]. Při vzniku zubního kazu prolínají hlavní 4 faktory – odolnost tvrdých zubních tkání, přítomnost kariogenních bakterií, dostupnost metabolického substrátu pro výživu těchto bakterií a čas, modifikujícím faktorem je pH sliny a přítomnost fluoridů – viz Obr. č. 3.
+

Obr. 3. Diagram vzniku zubního kazu
Co se týká odolnosti tvrdých zubních tkání, vrozeně sníženou odolnost mají pouze jedinci s vrozenou poruchou tvorby tvrdých zubních tkání. Další neblahou příčinou může být příjem některých antibiotik poškozujících tvorbu zubních tkání (tetracykliny) či radioterapie orofaciální oblasti během vývoje zubu. Jinak jsou čerstvě prořezané zuby přirozeně hladké (vyjma kousacích plošek, jamek a rýh) a poměrně odolné.
Odolnost tvrdých zubních tkání lze zvýšit po erupci zubů používáním fluoridovaných past, během vývoje zubů v období tvorby skloviny příjmem stravy s přirozeným obsahem fluoridů, v indikovaných případech pak dalšími fluoridovými prostředky jako jsou gely, roztoky či fluoridované tablety. Nadměrný příjem fluoridů během vývoje zubů však ke zpevnění tvrdých zubních tkání nevede, naopak je poškozuje (tzv. fluoróza) a předávkování se fluoridovými tabletami má toxické, ve vzácných případech i letální následky. Proto by tyto tablety měly být indikovány pouze po pečlivém zhodnocení všech faktorů rizika vzniku zubního kazu a jejich indikace spadá do kompetence zubního lékaře.
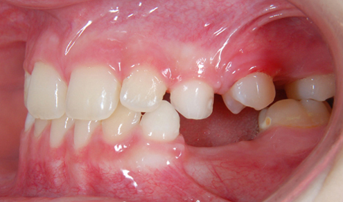
Kariogenní bakterie při metabolismu cukrů vytvářejí kyseliny, kterými dochází k naleptání povrchu tvrdých zubních tkání a v důsledku toho k lepší adhezi těchto bakterií. Odvápněný povrch skloviny již není hladký, ale naopak drsný. Demineralizovaná plocha pak přispívá k větší adhezi plaku s vysokým obsahem bakterií, které prostupují demineralizovanou porézní sklovinou a při delším působení vzniká kavitace zubu – viz Obr. č. 4 a 5. Pokud demineralizace postihuje pouze sklovinu – tzv. „křídová skvrna“ nebo „bílá léze“, můžeme tento proces šetrným a důsledným odstraňováním zubního plaku a opakovanou fluoridací zastavit. Skvrna ale již nezmizí, většinou dochází k prostupu pigmentů a k jejímu hnědému zbarvení – viz Obr. č. 4. Pokud dojde k průniku bakterií do dentinu a povrch skloviny zůstává intaktní, vytváří se tzv. podminovaný kaz. Takto postižený zub již musí ošetřit zubní lékař výplní, stejně tak v případě, kdy dojde ke kavitaci porušením sklovinného povrchu.
+

Obr. 4. Kaz ve smíšeném chrupu – bílá skvrna s počínající pigmentací na 36 M a bílá skvrna přecházející v kavitaci na 63 D
Mezi nejdůležitější kariogenní bakterie patří Streptococcus mutans a Lactobacillus acidophillus. Streptokoky produkují extracelulární sacharidy, které svým lepivým efektem přispívají k větší adhezi dalšího množství bakterií a hrají úlohu zejména v kazu skloviny. Laktobacily dokáží snášet i nízké pH a anaerobní podmínky, uplatňují se tedy v hlubších lézích, v kazech ve fisurách a jamkách, hrají dominantní roli v kazech dentinu a cementu.
+

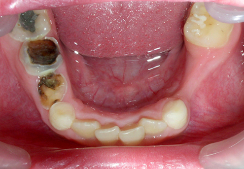
Obr. 5. Kariézní léze ve smíšeném chrupu – sekundární kaz na 46 O, rozsáhlé destrukce zubů 84, 85
Přísun sacharidů potravou prospívá metabolismu bakterií, zejména pokud je to přísun častý, a to i v malém množství. Pak se udržuje trvale nízké pH v ústech a dochází k demineralizaci tvrdých zubních tkání kyselinami, jež jsou produktem bakterií. Pokles pH plaku po expozici sacharidům dokumentuje tzv. Stephanova křivka. Stephan zjistil, že po expozici sacharidům rychle klesá pH v ústech pod kritickou hodnotu 5,5 a návrat k původním hodnotám trvá nejméně 30–60 minut.
Čas hraje také roli ve vzniku zubního kazu. Čím déle trvá nízké pH a přísun sacharidů, k tím větší demineralizaci dochází. Sladké prostředí podporuje metabolismus bakterií, které produkují další sacharidy, organické kyseliny, toxiny, toxické látky, enzymy a antigeny – viz Tab. č. 2.
Tabulka 2. Produkty metabolismu bakterií
Produkt | Hlavní zástupci | Účinek |
Sacharidy | Fruktany Glukany Polysacharidy | Tvoří matrix, další výživa, zlepšení adheze. |
Kyseliny | Mléčná Propionová Octová Mravenčí | Snižují pH. |
Toxiny | Endotoxiny Exotoxiny | Toxické poškození buněk, vyprovokování imunitní reakce. |
Toxické látky | Amoniak Sirovodík Indol Skatol | Zápach z úst, cytotoxické účinky, další výživa. |
Enzymy | Kolagenáza Proteáza Hyaluronidáza | Štěpí kolagen a fibrinogen. |
Plak však nemá jen negativní vlastnosti. Přítomnost dostatečné vrstvičky plaku na zubech chrání proti erozivním vlivům potravy a slouží i jako rezervoár fluoridových iontů. Tato protektivní vrstva vzniká do 1 h po čištění. Z toho vyplývá, že bezprostředně po čištění není vhodný příjem erozivní potravy. Po několika hodinách se však již antierozní vlastnosti plaku nezvyšují, spíše stírají, proto rozhodně neplatí, že by snížení frekvence čištění pod doporučovaných 2–3× denně mělo protektivní charakter [6] [8] [9].