3.1
Zubní povlak – definice pojmů
Po narození je dutina ústní sterilní, vzápětí je však kolonizována množstvím mikroorganismů, se kterými se novorozenec během prvních dnů života setká. Proto je velice důležitá včasná sanace chrupu matky a dodržování hygienických zásad (neolizování dudlíků a lžiček, nelíbání na ústa dítěte).
Po prořezání zubů do dutiny ústní kryje zub tzv. primární kutikula. Ta je tvořena zbytky redukovaného sklovinného epitelu. Tato primární kutikula chrání zub během erupce, poté mizí a zub kryje sekundární kutikula.
Sekundární kutikula (pelikula) je velmi tenký (1–10 µm) povlak z precipitátů slin, do kterého se postupně uchycují mikroorganismy, přirozeně přítomné v dutině ústní. Tuto glykoproteinovou vrstvičku nalézáme na povrchu zubu již za cca 10 sekund po očištění. Hlavní funkcí pelikuly je ochrana proti erozivnímu poškozování tvrdých zubních tkání slabými kyselinami a zásobování skloviny ionty vápníku, fosforu a fluoru.
Materia alba je bělavá hmota skládající se ze zbytků potravy, odloupaných epitelií, leukocytů, slin a mikroorganismů. Tato hmota neulpívá pevně na zubech, a proto ji lze snadno odstranit zubním kartáčkem, výplachem úst nebo proudem vody.
Zubní povlak (plak) naopak již k zubům ulpívá, je tvořen množstvím mikroorganismů a jejich produkty, slinnými precipitáty, a zbytky primární nebo sekundární kutikuly. Protože pevně adheruje k tvrdým zubním tkáním, lze jej odstranit pouze mechanicky zubním kartáčkem nebo zubní nití (více viz kapitola 4, Individuální orální hygiena), v profesionální hygieně pomocí air-flow.
Zubní povlak můžeme dělit podle lokalizace na zubu na plak koronární, fisurální, supragingivální a subgingivální.
+

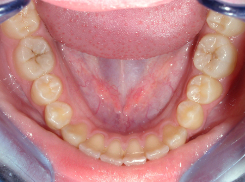
Obr. 1. Stálý chrup se zralým plakem cervikálně
Zubní kámen vzniká mineralizací z neodstraněného plaku. Je to tvrdá hmota, kterou již nelze odstranit pouhým mechanickým čištěním. Zubní kámen odstraňujeme ultrazvukem nebo ručními nástroji [6].
+

Obr. 2. Dolní zubní oblouk se zubním kamenem interdentálně mezi dolními řezáky