3.2
Potřeba vyprazdňování moče a stolice
Potřeba vyprazdňování moče a stolice navazuje na příjem potravy, trávení a vstřebávání živin a je spojena s potřebou intimity. Způsob uspokojování této potřeby je individuální a mezi jednotlivci existují velké rozdíly, pro někoho je normální jít na stolici každé ráno a někdo se vyprazdňuje dvakrát za týden. Tato oblast je velmi citlivá a vyžaduje diskrétní přístup ošetřovatelského personálu. Nedostatečné uspokojení této potřeby může být spojeno se somatickými obtížemi a psychickými projevy (bolest, pocit nadýmání, nervozita, špatná nálada apod.). Naopak uspokojená potřeba navodí pocit libosti a spokojenosti. Faktory ovlivňující vyprazdňování stolice a moče rozdělujeme na fyziologicko-biologické, psychicko-duchovní, sociálně-kulturní a faktory životního prostředí. Odstranění stolice z rekta a anu je označována jako defekace, rozdíly mohou být nejen ve frekvenci, ale také v množství a konzistenci. Defekace je činnost na podkladě vnitřního defekačního a parasympatického defekačního reflexu spolu se součinností břišních svalů, svalů bránice, zvýšeného břišního tlaku a kontrakce svalů pánevního dna. Tvorba a vylučování moče je ovlivněna potřebou organismu, funkcí vylučovacího systému, hormonální regulací a psychickými vlivy. Mikce, močení je vyprázdnění močového měchýře, centrum močení je ve spinální míše na úrovni 2. – 4. křížového obratle, kam přichází impulz z mozkové kůry. Poškození sakrální oblasti vede k poruchám mechanismu vyprazdňování ve smyslu vyprazdňování nebo neschopnosti udržet moč. Významným faktorem ovlivňující vyprazdňování střeva a močového měchýře je věk, příjem potravy a tekutin, pohybová aktivita a patologické stavy (onemocnění GIT, nemoci vylučovacího systému, imobilita apod.). Motilitu (pohyb) střev ovlivňuje také anestezie a operační výkony, proto je nutné sledovat v pooperačním období obnovu peristaltiky a mikci po výkonu. Strach, úzkost a stres jsou negativní emocionální stavy urychlující střevní peristaltiku. Respektování intimity je mnohdy obtížné zajistit ve zdravotnickém zařízení na vícelůžkových pokojích, to může způsobit poruchy vyprazdňování stolice, poruchy v oblasti sebekoncepce a snížení sebeúcty. Mezi poruchy spojené s potřebou vyprazdňování stolice a moče patří:
- Zácpa, obstipace je definovaná jako obtížné vyprazdňování malého množství tuhé stolice nebo úplná absence stolice, posuzováno vzhledem ke zvyklostem jedince, jeho návykům. Mezi nejčastější faktory vyvolávající obstipaci se řadí nepravidelné stravovací návyky, nevhodné diety, stres, užívání laxancií, nedostatek tekutin a pohybu, některé léky a onemocnění.
- Průjem, diarrhoea je opakem obstipace a je definován jako časté vylučování tekuté stolice.
- Paradoxní průjem u těžké zácpy je stav, kdy zahuštěnou a spečenou stolicí vzniká tlak až bolestivé nucení na stolici, ale nemocnému odchází pouze hlen s trochou stolice tzv. paradoxní průjem.
- Inkontinence stolice je stav spojený s narušenou funkcí análních svěračů nebo jejich inervace např. po úraze, nádorovým onemocněním apod. Pro jedince může být inkontinence důvodem sociální izolace.
- Plynatost, flatulence je stav, kdy nadměrné množství plynů ve střevech způsobuje meteorismus (rozpětí a nafouknutí). Stav může vyústit až v paralytický ileus (střevní neprůchodnost, hladká svalovina je ochablá a nedochází k pohybu střeva a následnému transportu střevního obsahu).
- Enkopréza znamená neschopnost udržet stolici, u dětí je enkopréza definována jako svévolný nebo mimovolný odchod stolice. Tento stav je specifický u dětí po 4. roce věku, častěji se vyskytuje u chlapců, může se projevit např. umazáváním spodního prádla a může být spojen s enurézou.
- Hemeroidy jsou rozšířené žíly v anální oblasti, které vznikají na vnitřní nebo vnější straně vlivem zvýšeného tlaku v anální oblasti, např. v důsledku chronické zácpy, obezity, při těhotenství.
- Polyurie je množství moče nad 3000 ml za 24 hodin.
- Oligurie je množství moče mezi 100 až 500 ml za 24 hodin.
- Anurie je množství moče menší než 100 ml za 24 hod.
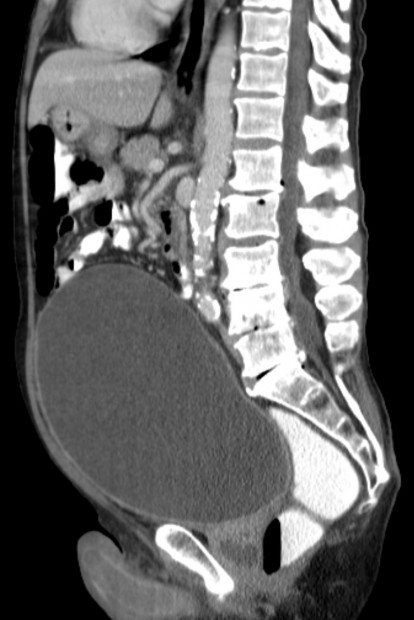
- Retence moči je definováno jako zadržení moči v močovém měchýři.
- Nykturie je časté močení během noci.
- Enuresis nokturna je noční pomočování, enuresis diurna je denní pomočování.
- Dysurie je bolestivé, obtížné močení, spojené s pocity řezání a pálení.
- Strangurie je pocit řezání při močení.
- Polakisurie je časté močení při nezvětšeném množství moči.
- Paradoxní ischurie je stav, kdy moč odkapává při přeplněném močovém měchýři, moč překonává silou překážku, kterou je např. zvětšená prostata.
- Inkontinence moče je příznak, může být celková (moč se vylučuje kontinuálně, neočekávaně), stresová (moč se vylučuje při náhlém zvýšení intraabdominálního tlaku – kašel, kýchnutí, pánevní dno je oslabené), urgentní (nestabilní močový měchýř, nastává mimovolní kontrakce svalstva a moč samovolně odchází – např. u cystitidy), reflexní (mimovolné vyprázdnění moči po naplnění v předvídatelných intervalech).
Ošetřovatelský proces zaměřený na potřebu vyprazdňování moče a stolice vychází z ošetřovatelské anamnézy. Všeobecná sestra v součinnosti s lékařem a ošetřovatelským týmem posoudí vyprazdňovací návyky nemocného, soběstačnost v oblasti vyprazdňování, úroveň sebepéče, provede odběr biologického materiálu moče a stolice. Na základě stanovení ošetřovatelských diagnóz vztahujících se k problematice vyprazdňování stolice (zácpa, průjem, inkontinence stolice apod.) a moče (poruchy vyprazdňování moče, inkontinence moče, retence moče), zohlední stav nemocného (bolest, poruchu integrity kůže, poruchy výživy, poruchy soběstačnosti apod.) a vypracuje plán péče. Možné ošetřovatelské intervence budou zaměřené na sledování vyprazdňování stolice a moče, záznam frekvence, množství, příměsí, zajištění vhodné stravy a dostatečného množství tekutin dle onemocnění a ordinace lékaře. V případě zavedeného permanentního močového katetru sestra sleduje množství moče vzhledem k příjmu tekutin, barvu, patologické příměsi (např. krev) a stará se o funkčnost (průchodnost a polohu katetru v lůžku, výměnu katetru dle použitého materiálu katetru) katetru. Zajištění pohybové aktivity, zvýšený hygienický režim po vyprázdnění moče a stolice, zajištění vhodných inkontinenčních pomůcek. Po operačním zákroku (operace na GIT, odstranění močového kaménku apod.) kontrola močení a obnova střevní peristaltiky. V případě operačního vyvedení kolostomie, péče o okolí a obnovu střevní peristaltiky a stolice, edukace nemocného v péči o kolostomii včetně vybavení pomůckami do domácího prostředí (podrobněji ošetřovaní stomie v samostatném projektu). [5, 6, 7]
Příklad
Domácí úkol: K faktorům, ovlivňující vyprazdňování stolice a moče (fyziologicko-biologické, psychicko-duchovní, sociálně-kulturní a faktory životního prostředí), se pokuste dohledat konkrétní příklady z praxe.
+

Obr. 11. Hemeroidy 1
+
Obr. 12. Hemeroidy 2
+

Obr. 13. Hemeroidy 3
+

Obr. 14. hemeroidy 4
+

Zdroj: Autor Hellerhoff, Harnverhalt mit riesiger Blase in der Computertomographie., licence Creative Commons BY-SA 3.0.
Obr. 15. Retence moči
+

Zdroj: Autor Frank C. Müller, Bildinhalt: Mit etwas Urin gefüllte Kunststoff-Urinflasche in einer Drahthalterung. Aufnahmeort: Mannheim, Deutschland, licence Creative Commons BY-SA 4.0.
Obr. 16. Urinoár
Křížovka