Mezi nejčastější techniky intraorálního snímkování se řadí: apikální projekce, limbální projekce, bite wing, neboli skusový snímek a okluzní projekce.
Abychom získali kvalitní snímek, je potřeba spolupráce pacienta. Ve stomatologické ordinaci může dojít k situaci, kdy pacient nespolupracuje. Je to například u pacientů s dávivým reflexem či u dětských pacientů. V této situaci je vhodné intraorální snímek nahradit snímkem extraorálním, který je pro pacienta méně náročný na zhotovení.
Výhodou intraorálního snímkování je nízká cena, nízká dávka a detailní zobrazení jednotlivých struktur.
Nevýhodou intraorálního snímkování je zhotovování snímku u pacientů s dávivým reflexem a tam, kde je potřeba jeho spolupráce, např. při mentálním postižení. Další nevýhodou je zobrazení pouze části chrupu, což je dáno velikostí snímku.
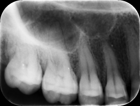
Apikální projekce patří mezi nejčastěji používané techniky. Na snímku můžeme vidět celou korunku zubu, krček, kořen s kořenovými kanálky, okolí kořene zubu, periodontální štěrbinu s kostí alveolárního výběžku. Zhotovení snímku probíhá ve spolupráci s pacientem, který si rentgenový snímek přidržuje sám v ústech, nebo za pomoci držáků určených pro tento typ projekce.
Na rtg snímcích zhotovených apikální projekcí můžeme detailně vidět zubní kazy, amalgámové či kompozitní výplně, resorpci alveolární kosti, kořenovou výplň po endodontickém ošetření, nález na hrotu kořene (periapikální projasnění), resorpci či frakturu kořene, či průběh periodontální štěrbiny.
Jak již bylo uvedeno, ke zhotovení apikálního snímku používáme speciální držáky, nebo při snímkování dodržujeme tzv. Camperovu linii a Cieszynského pravidlo. Camperova linie nám slouží ke správnému nastavení hlavy pacienta při zhotovení snímku v horní a dolní čelisti. Cieszynského pravidlo slouží k získání obrazu zubu, který odpovídá jeho velikosti. Tento snímek nazýváme snímkem izometrickým.
+

Obr. 16. Apikální snímek
Limbální nebo též marginální projekce se v praxi nepoužívá často, spíše se využívá v záchovné stomatologii a parodontologii. Tubus s centrálním paprskem je směřován paralelně s průběhem mezizubních prostor na oblast krčku vyšetřovaného zubu. Výsledný snímek informuje o stavu marginálního parodontu a korunky zubu. Zubní kořeny jsou zachyceny zkresleně.
Na snímku zhotoveném okluzní (axiální) projekcí můžeme vidět větší úseky čelisti, nebo ústní spodiny, dále se využívá k lokalizaci cizího tělesa, retinovaných zubů či slinných kamenů ve Whartonově vývodu submandibulární slinné žlázy nebo v podjazykové slinné žláze. Na snímcích můžeme sledovat odontogenní i neodontogenní cysty, tumory a léze podobné tumorům.
Během zhotovení okluzních snímků v horní čelisti má pacient hlavu v běžné poloze jako při standartním snímkování. Snímek je fixován lehkým skousnutím pacienta.
Projekce v horní čelisti můžeme rozdělit na snímky frontální oblasti a oblasti úseku horních molárů.
Při snímkování úseků dolní čelisti je hlava zakloněna tak, aby byl zajištěný šikmý až kolmý dopad centrálního paprsku na film.
+

Obr. 17. Okluzní projekce horní čelisti
+

Obr. 18. Okluzní projekce dolní čelisti
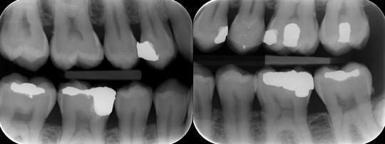
Bite wing neboli interproximální projekce slouží k získávání snímků, které lze nazvat jako snímky preventivní. Zhotovují se v časovém intervalu 6–24 měsíců, záleží na úrovni ústní hygieny pacienta, kazivosti chrupu a věku pacienta. Ke zhotovení těchto snímků používáme speciální držák s nákusným křidélkem, který pacient skousne mezi zuby v oblasti premolárů a molárů. Během vyšetření má pacient ústa zavřená.
Bite wing je skusový snímek zobrazující současně korunky všech laterálních zubů jedné strany čelisti i s přilehlou alveolární kostí. Jeho hlavní význam spočívá v časné diagnostice primárních či sekundárních kazů v mezizubním prostoru distálních zubů a v diagnostice recidivujících kazů. Dále je možné na rentgenovém snímku vidět přítomnost převislých výplní, okraje fixních protetických prací, zubního kamene a resorpci laminy corticalis při parodontitidě.
Pro kompletní vyšetření všech korunek laterálních zubů jsou nutné pouze 2 snímky. Toto vyšetření je velmi efektivní z důvodu malé časové náročnosti a nízké radiační zátěže.
+

Obr. 19. Bite wing (skusový snímek)