1.3
Idiopatické střevní záněty
Souhrn
Idiopatické střevní záněty (ISZ) jsou chronická zánětlivá onemocnění zažívacího traktu, která bývají provázena bohatými mimostřevními příznaky. Choroby začínají v dětství nebo během dospívání a jejich etiologie je nejasná. Pravděpodobně však jde o autoimunitní proces s genetickým základem, který je spuštěn procesem ze zevního prostření, například infekcí. ISZ postihují obě pohlaví téměř stejně často. Nově nemocných v posledních letech přibývá. Statisticky je prokázáno, že 20 až 30 % pacientů jsou děti do 18 let. Dále je prokázán častější výskyt u lidí ve věku 50 – 70 let. [https://www.wikiskripta.eu/w/Nespecifick%C3%A9_st%C5%99evn%C3%AD_z%C3%A1n%C4%9Bty] [https://www.labtestsonline.cz/idiopaticke-strevni-zanety.html]
1.3.1
Crohnova nemoc
Je nespecifické zánětlivé onemocnění, kterékoli části trávicí trubice. Onemocnění má segmentální charakter a postihuje trávicí trubici ve všech jejích vrstvách. Jedná se o granulomatozní zánět.
Poznámka
Granulomatózní zánět je chronický zánět, při kterém se tvoří granulomy (zrníčka). Obvykle je granulom reakcí na něco, co je sice tělu cizí, ale co makrofágy (buňky imunitní soustavy) nedokáží odstranit. [https://www.wikiskripta.eu/w/Z%C3%A1n%C4%9Bt_granulomat%C3%B3zn%C3%AD]
Onemocnění probíhá chronicky. U pacienta se střídají období relapsů a remisí zánětu. Toto onemocnění je medikamentózně a chirurgicky nevyléčitelné. Nejčastější lokalizací onemocnění je ve 40 % v oblasti ileocékální (oblast přechodu tenkého a slepého střeva). Tlusté střevo je postiženo v 30 % případů. Izolované postižení tenkého střeva je zhruba u 15 – 20 % nemocných a 5 – 10 % pacientů má postižení v jícnu, žaludku nebo duodenu.
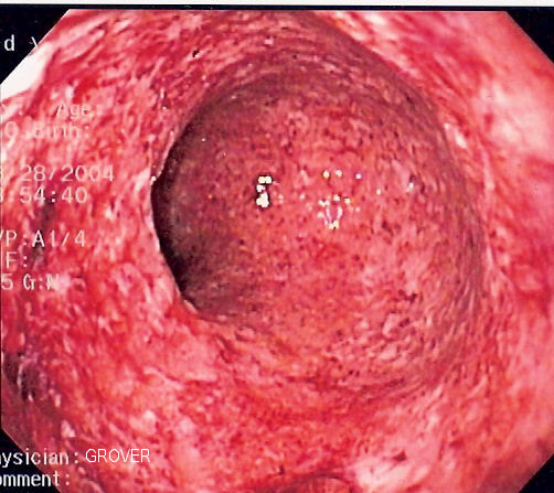
+

Zdroj: Autor Samir, Endoscopic image of severe Crohn's colitis showing diffuse loss of mucosal architecture, friability of mucosa in sigmoid colon and exudate on wall., licence CC-BY-SA-3.0.
Obr. 5. Crohnova choroba
Projevy onemocnění jsou velmi rozmanité v závislosti na rozsahu a lokalizaci nemoci. Nemoc může probíhat řadu let s nepatrnými projevy břišního diskomfortu, ale s výraznou symptomatologií mimostřevní (onemocnění kloubů, oční záněty, záněty močových cest). Stejně tak může nemoc manifestovat jen nespecifickými příznaky, jako je úbytek hmotnosti, sideropenická anémie, zvýšení tělesné teploty). [22] [18]
Klinický obraz podle lokalizace postižení se liší.
- Ileocekální lokalizace. Je klasické predilekční místo choroby. Projevy jsou bolesti břicha, z počátku se stálým tlakovým charakterem s lokalizací v pravém podbřišku. Při progresi zánětu se mění na křečovité okolo pupku, s nadýmáním, nadměrným odchodem plynů (flatulence), říháním. Bolesti se objevují v závislosti na jídle, a to do 1 hodiny. Mohou se objevit řitní papily (výběžky) a anální trhliny či abscesy.
- Lokalizace v tlustém střevě. Zde se objevují křečovité bolesti břicha pod pupkem, průjmy, plynatost (tenesmus) a krvácení z konečníku. Charakteristická je přítomnost vředových defektů. Někdy se jedná o hluboké fisurální vředy, které mohou pronikat celou stěnou střeva a podporovat vznik píštělí. Při postižení rekta jsou téměř vždy hnisavé komplikace v perianální oblasti.
- Lokalizace v tenkém střevě. U této formy nebývají průjmy, ale stolice bývá řidší a formovaná. Typickým projevem je střevní dyspeptický syndrom, který se projevuje nechutenstvím, nadýmáním, říháním, zvýšeným odchodem plynů a škroukáním v břiše. Jsou zde známky malnutrice a intermitentní (stálé) bolesti břicha. Nejčastějším nálezem je těsná fibrózní stenóza různě dlouhá (milimetry až desítky centimetrů). Při významné stenóze může dojít k subileóznímu nebo až ileóznímu stavu. Zrádné je, že nejsou obvyklé ani patrné klinické či laboratorní známky zánětu.
- Lokalizace v rektu a análním kanálu. Tato lokalizace je vzácná. Projevuje se erozemi a vředy v oblasti análního kanálu. Typická je tvorba abscesů a píštělí. Postižení jsou většinou mladší pacienti, zvláště ženy. Nemoc v této oblasti probíhá většinou nepříznivě a s vleklým průběhem. Při agresivním průběhu může dojít k narušení funkce análních svěračů a částečné či úplné inkontinenci.
- Atypické lokalizace. Zde symptomatologie závisí na postiženém orgánu. V jícnu je různě dlouhá stenóza s vředy, která se projevuje zhoršující se dysfagií (poruchou polykání) s následným úbytkem na hmotnosti. U žaludku jsou v popředí symptomy z porušené evakuace obsahu žaludku, které vyvolávají pocit plnosti a bolesti po jídle, nauzeu a zvracení nestráveného obsahu. V duodenu se obvykle vyskytují stenózy, které narušují pasáž. To má za následek projevy malabsorpce a úbytek hmotnosti.
Do diagnostiky zahrnujeme:
- Anamnézu. Zde pátráme po přítomnosti autoimunitních chorob v rodinné anamnéze, včetně alergií.
- Při fyzikálním vyšetření je palpační bolestivost nad postiženým úsekem střeva nebo bolestivá hmatná rezistence na stěně střeva. Jsou známky peritoneálního dráždění, bledá kůže a sliznice, přítomnost mimo střevních projevů (kožních, očních).
- Laboratorní nález. Jsou pozitivní zánětlivé parametry, sideropenická anemie, hypoalbuménie, serologie – pozitivní protilátky.
- Endoskopické vyšetřovací metody. Koloskopie, gastroskopie, enteroskopie s odběrem bioptických vzorků.
- Zobrazovací metody. Ultrasonografie ke zjištění komplikací, radiologické - enteroklýza, počítačová enterografie), magnetická rezonance malé pánve.
Léčba je farmakologická s cílem navodit a udržet remisi onemocnění (kortikoidy). Dále biologická léčba. Jde o moderní generaci protizánětlivých léků s aplikací monoklonálních protilátek. Při chirurgické léčbě se odstraní postižené části střeva. Nedílnou součástí je dietní opatření. To je individuální u každého pacienta. Zdravý životní styl – eliminovat stres, nekouřit a neužívat perorální antikoncepci. [8] [18] [22]