2.2
Autozomální recesivní dědičnost (AR)
Geny podmiňující chorobu jsou umístěny na autozomech a sledujeme znak podmíněný recesivní alelou (a). Sledovaný znak se fenotypově projeví u recesivních homozygotů (aa), dominantní homozygoti (AA) jsou zdraví a heterozygoti (Aa) jsou bez fenotypových projevů nemoci, ale fungují jako přenašeči. U těchto nemocí se zvyšuje pravděpodobnost výskytu nemoci u příbuzenských sňatků.
Pravděpodobnost narození postiženého potomka je u dvou heterozygotních rodičů 25 % a 50 % potomků budou přenašeči (heterozygoti).
+

Obr. 12. AR dědičnost – rodiče heterozygoti
Pravděpodobnost narození postiženého potomka je u heterozygota a recesivního homozygota 50 % a 50 % potomků budou přenašeči (heterozygoti).
+

Obr. 13. AR dědičnost – rodiče recesivní homozygot a heterozygot
Mezi choroby podmíněné AR patří například:
cystická fibróza (mukoviscidóza)
- zhoršující se onemocnění dýchacích cest a plic, nedostatečná funkce slinivky břišní, poruchy reprodukce u mužů
- nejčastější život ohrožující dědičné onemocnění u europoidní rasy
fenylketonurie
- metabolická porucha (porucha metabolismu aminokyseliny fenylalaninu)
- tuto nemoc lze léčit dietou s nízkým obsahem fenylalaninu a přídavkem tyrosinu
- pro zjištění nemoci se odebírá krev novorozencům a léčba se zahajuje ihned, aby nedošlo k nenapravitelnému poškození dítěte (mentální retardace, mikrocefalie, srdeční vady)
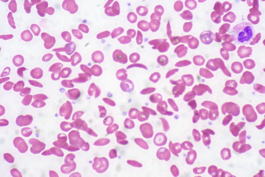
srpkovitá anémie
- typ hemoglobinopatie (tvorba vadného hemoglobinu)
- srpkovité erytrocyty špatně procházejí kapilárami, mohou je ucpat a vyvolat tak např. infarkt
- závažná hemolytická anémie, bez lékařské péče je smrtelná
- v oblastech světa, kde se se vyskytuje malárie (způsobují ji prvoci r. Plasmodium, přenašeči jsou komáři r. Anopheles), lze sledovat zvýšený výskyt heterozygotů, kteří jsou odolnější vůči infekci
+

Zdroj: Autor Ed Uthman, Peripheral blood smear Pathological and histological images courtesy of Ed Uthman at flickr., licence Creative Commons BY 2.0.
Obr. 14. Srpkovité erytrocyty