4.5
Dystrofie
jde o poruchy metabolismu buněk, je to nejmenší stupeň poškození. Řadíme zde poruchy metabolismu bílkovin, cukrů, tuků, vody, minerálů a pigmentů.
4.5.1
Poruchy metabolismu bílkovin
Kalné zduření (albuminoidní dystrofie)
Orgány jsou křehké, šedé, zduřelé. Jde o změnu přechodnou. Postihuje játra, ledviny, myokard, příčně pruhovaný sval. Příčina: horečky, nedostatek O2, toxické látky, infekční choroby.
Inkluze
Jde o kulovité hrudky v plazmě nebo jádrech buněk, či současně. Vznikají u buněk napadených viry, (virus spalniček, cytomegalovirus – herpes viry, virus vztekliny) a jsou tvořeny cytoplazmatickými proteiny změněnými účinkem virů nebo kompletními viry.
Hyalinizace
Hyalin vzniká v průběhu hyalinizace (intracelulární nahromadění proteinů), odlišuje se od amyloidu. V průběhu hyalinizace je postiženo kolagenní vazivo, které se mění v bezstrukturní hmotu (mizí fibrily). Je to změna trvalá. Často v ní dochází k vypadávání vápenatých solí a lipidů. Vyskytuje se ve stěnách cév při ateroskleróze, v jizvách, ve srůstech serózních blan. (Např. chrupavčitě tuhá, bělavá ložiska v pouzdře sleziny → tzv. polevová (cukrová) slezina – perisplenitis cartilaginea.
+

Obr. 6. Splenitis cartilaginea.
Amyloidóza (amyloidosis)
Amyloidóza je ukládání, shlukování patologické bílkoviny, skupiny proteinů formou nerozpustných fibril (normálně se v organismu nevyskytuje). Hromadí se extracelulárně. Amyloid je škrobu podobná látka, homogenní, má voskovitý vzhled. Ukládá se mezi buňkami v blízkosti cév, kde vede k jejich strukturální a funkční destrukci. Vzniká transformací bílkovin, které jsou přítomny v plazmě buď fyziologicky, nebo za určitých patologických stavů ve zvýšené koncentraci nebo v modifikované formě. Postižené orgány jsou tuhé, matné až špekovité. Amyloidóza generalizovaná postihuje vice orgánů současně, lokalizovaná – jde o ukládání amyloidu v jednom místě.
- amyloidóza primární – chybí základní choroba
- amyloidóza sekundární – vzniká při dlouhodobých hnisavých procesech (osteomyelitida, bronchiektazie, TBC, některé nádory)
- amyloidóza senilní – postihuje zejména myokard a aortu starých lidí (může vyvolávat poruchy rytmu a selhání srdce)
Závažnost a důsledky amyloidózy závisí na tkáni, místě ukládání a stupni postižení orgánů, hlavně však ledvin. Následkem může být kardiomyopatie, hepatomegalie, selhání ledvin, polyneuropatie apod.
Poznámka
Amyloidóza se dělí podle typu proteinu - amyloidu (např. na AL amyloidóza, AA amyloidóza, AH amyloidóza, atd.). Z hlediska klinické klasifikace můžeme amyloidózu rozdělit na primární, sekundární, amyloidózu spojenou s hemodialýzou, izolované amyloidózy (např. některé polypeptidické hormony mají tendenci kromě jiného vytvářet amyloid. Amyloid infiltruje Langerhansovy ostrůvky. Amyloid a Alzheimerova choroba – u některých pacientů je přítomný defekt β-amyloidu, na mozku pacientů jsou nálezy senilních plaků. Tumorózní amyloid - objeví se jako ložisko s podezřením na tumor – pseudotumor (plicní parenchym) apod.
4.5.2
Poruchy metabolismu lipidů
V organismu je nejčastější zastoupení triglyceridů, mastných kyselin, cholesterolu a fosfolipidů. Ve zdravých buňkách jsou lipidy roztroušeny a nejsou pod mikroskopem vidět. Za patologických stavů se shlukují a tvoří kapky neutrálních tuků.
- steatóza – hromadění lipidů v cytoplazmě buněk
- mimobuněčná steatóza – ukládání lipidů v mimobuněčném prostoru
- lipidózy – poruchy metabolismu tuků na podkladě enzymatických defektů
Makroskopicky jsou orgány žluté, difúzně nebo v proužcích, těstovité. Nejvíce jsou postiženy:
- játra
- myokard – tygrované srdce
- kosterní sval
- ledviny, stěny cév při ateroskleróze
+

Obr. 7. Steatóza jater.
Příčiny
- zvýšený přívod potravou, obezita (zvýšená nabídka v okolí), vzniká např. – cholesterolóza žlučníku (tzv. jahodový žlučník)
- malnutrice – absence proteinů vede k blokádě syntézy lipoproteinů, lipidy se hromadí v hepatocytech (výskyt např. u kwashiokoru, marasmu)
- ischémie – projev na orgánech jako tzv. muškátová játra, tygrované srdce
- metabolické poruchy – diabetes mellitus
- toxické vlivy akutní a chronické – alkohol (postihuje mitochondrie a hladké endoplazmatické retikulum buňky), organická rozpouštědla, houby, endotoxiny bakterií
- genetické vlivy
+

Obr. 8. Cholesterolóza žlučníku.
Reverzibilita stavu postižených buněk nebo následky steatózy závisí na jejím stupni.
4.5.3
Poruchy metabolismu cukrů
K nejdůležitějším jednoduchým cukrům patří glukóza. Sacharidy slouží jako:
- nejrychlejší zdroj a energie (glukóza, fruktóza)
- strategická zásoba (škrob, glykogen, inulin)
- stavební materiál (celulóza, chitin)
- součást některých složitějších látek (nukleových kyselin, hormonů, apod.)
K výraznému hromadění glykogenu dochází v případě:
- poruchy metabolismu glukózy nebo glykogenu (např. u diabetes mellitus II. typu), glykogen se hromadí v proximálních tubulech ledvin, jádrech hepatocytů a kardiomyocytů
- anoxie – znatelné v buňkách srdečního svalu v okolí infarktu myokardu
- geneticky podmíněných enzymatických defektů (glykogenózy)
- dále se tvoří u některých nádorů – světlobuněčný karcinom ledviny, seminom varlete, difúzní adenokarcinom zažívacího traktu
Sacharidy jsou ve vodě rozpustné. Při jejich hromadění v buňkách (glykogenová infiltrace) jsou buňky světlé s objemnou plazmou, podobají se rostlinným.
4.5.4
Kalcifikace
neboli zvápenatění, je ukládání vápenatých solí (kalcium fosfát, hydroxyapatit) do tkáni, kde se normálně nevyskytují (začíná v mitochondriích poškozené buňky).
- kalcifikace dystrofická – jedná se o ukládání vápníku v dystroficky pozměněných tkáních, hlavně hyalinizovaných – jizvy, kaseifikační nekróza, ateroskleróza, kalcifikace srdečních chlopní
- kalcifikace metastatická – ukládání vápníku do zdravých tkání, podmínkou je porucha acidobazické rovnováhy, kyselé prostředí; vždy souvisí s poruchami hladiny vápníku v krvi (hyperparathyreoidesmus, nadbytek vitaminu D, zvýšené vstřebávání vápníku v tenkém střevě, zvýšený přísun v potravě, zvýšená resorpce kostí při osteoporóze). Ukládání se děje:
4.5.5
Tvorba kamenů v těle
- krystaly jsou pevná, tuhá tělíska vyskytující se volně ve tkáních, jako složky kamenů urátových (kyseliny močové a urátu sodného), krystaly cholesterolové, cystinové, oxalátové, krystaly hlenových látek, paraproteinu apod.)
- konkrementy (kameny) jsou pevné útvary tvořící se zejména ve žlázových vývodech kondenzací kamenotvorné látky
Tvorba kamenů v těle se nazývá lithiasis, předpona určuje lokalizaci.
Příčiny
- dispozice – zvýšená koncentrace kamenotvorných solí, většinou při poruše metabolismu (zvýšené vylučování vápníku, kyseliny šťavelové, močové a cystinu ledvinami do moči)
- zánět – odloupané epitelie tvoří jádro, na kterém krystalizují soli (dochází ke změně koloidního prostředí; vzniká buď smísením koloidu s exsudátem, nebo vlivem odloupaných epitelií bakteriálních kolonií – infekce močových cest, nekrotické tkáně apod., jež představují smáčivý povrch; patří zde např. smíšené kameny v žlučníku)
- změna pH prostředí – dochází při ní ke změně rozpustnosti kamenotvorných látek, hlavně v ledvinách (nejčastěji při urolithiáze, způsobené ascendentní infekcí bakteriemi štěpícími močovinu za vzniku amoniaku (alkalizace prostředí → zvýšená rozpustnost urátů, snížená rozpustnost solí kalcia; v zánětlivě změněných močových cestách jsou konkrementy složené z fosforečnanu a uhličitanu vápenatého; často dochází ke vzniku infekce v důsledku diatesové urolithiázy → vápenaté soli se mohou usazovat na jiná jádra (např. urátové) a vznikají kameny smíšené)
- dietní zvyklosti, nedostatečný příjem tekutin
- odchylky vývodných cest močových – zúžení močovodu či ledvinné pánvičky, ureterokéla, podkovovitá ledvina, vesikoureterální reflux
Velikost kamenů
- od písku až po odlitkové kameny (v ledvinné pánvičce)
Počet kamenů
- solitární až mnohočetné
Tvar kamenů
- kulovité, oválné, elipsovité, je-li uložen volně
- hranaté, ostnaté
- fasetované – vyskytuje-li se v dutině více kamenů, které na sebe tlačí tak, až se plochy, jimiž jsou vzájemně v kontaktu, oplošťují, dále s obroušenými hranami
- odlitkové, pokud kámen zcela vyplňuje dutinu, v níž vznikl, kopíruje její tvar (kalichy ledvinné)
+

Obr. 9. Žlučové kameny – fazetové.
+

Obr. 10. Žlučové kameny (zánětlivý faktor).
+

Obr. 11. Žlučové kameny cholesterolové.
+

Obr. 12. Žlučové kameny smíšené.
+

Obr. 13. Nefrolithiáza – odlitkový kámen.
Složení kamenů
- většinou z více látek, nejčastější složka jsou vápenaté soli, dále barviva, soli kyseliny močové, šťavelové a fosfáty
U některých typů kamenů můžeme uplatnit preventivní opatření týkající se zejména úpravy stravovacích návyků, známe-li chemické složení močového kamene. Při výskytu kamenů ze šťavelanu vápenatého (kalciumoxalátové) omezit potraviny bohaté na šťavelany: špenát, červená řepa, fazole, sója, kakao, rebarbora, černý pepř, ořechy (pražené arašídy). U kamenů z kyseliny močové (urátové) je zapotřebí eliminovat konzumaci stravy bohaté na puriny: uzeniny, vnitřnosti, zvěřina, telecí, některé druhy ryb (sardinky, sleď, ančovičky, makrela).
Lokalizace kamenů
- cholelithiasis – kameny ve žlučových cestách, (cholecystolithiasis – ve žlučníku, choledocholithasis – ve žlučovodu)
- urolithiasis – v močových cestách, nephrolithiasis – v parenchymu či dutém systému ledviny, pyelolitiasis – v ledvinné pánvičce, kalykolitiza – konkrement je uložen v horním, středním či dolním kalichu ledviny, nefrokalcinóza – dochází k hromadění drobných konkrementů v renálním parenchymu, urocystolithiasis – v močovém měchýři)
- pancreatolithiasis – ve vývodech slinivky břišní
- sialolithiasis – kameny ve vývodech slinné žlázy
+

Obr. 14. Nefrolithiasis, urocystolithiasis.
Komplikace z přítomnosti kamenů
- tlak – atrofie a nekróza epitelu se vznikem dekubitu a zánětu
- kolika – záchvatovitá bolest při průchodu kamene vývodními cestami způsobená stahy hladké svaloviny (kolika renální – bolest vystřeluje ze zad do třísla, kolika žlučníková – bolest vystřeluje pod pravým obloukem žeberním do zad mezi lopatky)
- zaklínění kamene s následkem obstrukce vývodu, sekret se hromadí před překážkou; v ledvině dojde k atrofii parenchymu a vzniká vakovitá ledvina (vazivový vak vyplněný čirou tekutinou); ve žlučových cestách vznikne obstrukční ikterus
4.5.6
Pigmenty
jsou látky, které způsobí zbarvení tkání a orgánů. Lze je rozdělit na:
4.5.6.1
Pigmenty exogenní
Jsou přijaté ze zevního prostředí:
- kůží – tetováže – úraz, úmyslné jehlou
- trávicím ústrojím – těžké kovy (olovo, stříbro), způsobují šedé až černé zabarvení sliznic a kůže
- dýchacím ústrojím – vznikají pneumokoniózy
Např. u pacientů s nádorovým onemocněním, kteří jsou léčení cisplatinou, se může projevit pigmentace cisplatinou hlavně na dásních jako platinový proužek nebo amalgamová pigmentace - patrná na sliznici tváří, gingiv, patra a jazyka. Jde o iatrogenní pigmentaci implantací.
4.5.6.2
Pigmenty endogenní
AUTOGENNÍ PIGMENTY – vznikají při buněčném metabolismu (melanin a lipopigmenty).
- melanin – je fyziologické barvivo neuroektodermu se škálou barevnosti od červenohnědé až po černou. Jeho tvorbu řídí MSH (melanocytostimulující hormon), který je součástí ACTH (adrenokortikotropního hormonu).
Podle lokalizace rozlišujeme melanin:
- melanin okulokutánní – přítomný v melanocytech kůže, očních tkáních (iris, duhovka, retinální epitel), leptomeningách; zbarvuje kůži, vlasy, oči, poskytuje tím ochranu před zářením. Tvoří se v melanocytech v epidermis
- neuromelanin – pigment uložený v granulích, nažloutlý až hnědý, přítomný v cytoplazmě katecholaminergních neuronů CNS (má souvislost s Parkinsonovou chorobou; primární postižení při Parkinsonově chorobě je degenerace neuronů obsahujících neuromelanin; dochází k úbytku pigmentovaných dopaminových neuronů v oblasti mozkových jader, tudíž ke snížení celkového množství dopaminu)
Hyperpigmentace
- celková
- místní
+

Obr. 15. Maligní melanom (fixace ve formaldehydu)
+

Obr. 16. Histologický preparát – melanom.
Hypopigmentace
- celková
- místní
- Lipopigmenty (lipofuscin, lipochrom, ceroid)
lipofuscin
- objevuje se již na konci dětského věku, spontánní akumulace tohoto barviva nastává při stárnutí (pigment z opotřebování)
- výlučně se vyskytuje u sešlých kachektických lidí
- objevuje se při nedostatku vitamínu E
- tvoří tmavě žlutá zrnka v plazmě buněk, orgány jsou tmavě hnědé, nejvíce jsou postiženy játra, myokard, kosterní svaly
lipochrom
- žlutooranžové barvivo v tukových buňkách (je rozpustné v tucích)
- jedná se o karotenoidy rostlinného původu (karoten, lutein atd.)
- nakupení při zvýšeném přívodu karotenoidů potravou nebo u nemocných s cukrovkou – způsobuje xantózu (žlutý podkožní tuk, plosky a dlaně)
ceroid
- hnědý intracelulární pigment (v makrofázích kolem hematomů, lysozomální hromadění lipidů apod.)
- při avitaminóze E se hromadí ve stěně tenkého střeva
Benigní pigmentace ve stěně tlustého střeva (melanosis coli) s tmavě hnědým až černým zabarvením se může objevit při chronickém užívání laxantií (hromadí se makrofágy s lipofuscinem).
PIGMENTY HEMATOGENNÍ – vznikají rozpadem hemoglobinu.
- hemosiderin
je sloučenina bílkoviny a železa obsahující lipidy a polysacharidy. Jde o žlutohnědý zrnitý pigment. Váže přebytečné železo, při jeho nadměrném obsahu či přívodu se hromadí v buňkách.
- bilirubin
Vzniká v 85 % odbouráváním hemoglobinu. Není rozpustný ve vodě, je rozpustný v tucích, a tím je nebezpečný. V plazmě je navázán na albumin. Jde o nerozpustný komplex, tzv. bilirubin nepřímý, nekonjugovaný. Následně je vychytán jaterními buňkami, odštěpí se albumin a bilirubin se spojí s kyselinou glukuronovou. Mluvíme o bilirubinu přímém, konjugovaném. Tento komplex je ve vodě rozpustný. Přímý bilirubin je pak vylučován do žlučových kapilár, žluči a tenkého střeva. Ve střevě je bilirubin bakteriemi odbourán, následně je v 85 % vyloučen ve formě bezbarvého sterkobilinogenu, který se mění oxidací na hnědý sterkobilin a zabarvuje stolici. Asi 15% se vrací enterohepatalním oběhem zpět do jater. Z toho se asi 1 % dostává do velkého oběhu a je vyloučeno močí ve formě urobilinogenu, který se mění na urobilin. Zabarvuje moč.
+

Obr. 17. Osud bilirubinu a druhy ikteru.
Ikterus (žloutenka)
je hromadění žlučového pigmentu v krvi, tkáních (spojivky, kůže), dochází k jejich žlutému zbarvení. Vlivem vyvinuté hematoencefalické bariéry u dospělého jedince není za fyziologických podmínek zabarven mozek. Za určitých okolností však může i u dospělého jedince dojít k mírnému průniku. Normální hodnoty bilirubinu v krvi jsou < 17 mmol/l (žloutenka vzniká asi při dvojnásobku horní hranice).
Žloutenky dělíme na:
- prehepatální – předjaterní (hemolytická)
- intrahepatální – jaterní (hepatotoxická)
- posthepatální – pojaterní (obstrukční)
Ikterus hemolytický – vzniká zvýšený rozpad hemoglobinu, játra jsou nepoškozená, avšak nestačí vyloučit bilirubin. Kůže je citrónově žlutá, mluvíme o flavinovém ikteru.
- hemolytické anemie – zvýšený rozpad erytrocytů, erytrocyty mají zkrácenou životnost. Příčiny mohou být:
- novorozenecká žloutenka – vzniká v důsledku hyperbilirubinémie, kdy koncentrace bilirubinu v krevním séru > 17 – 25,7 umol/l bez ohledu na věk dítěte; až 50 % zralých novorozenců má žloutenku, u nezralých novorozenců je procento ještě vyšší
nekonjugovaná hyperbilirubinémie (nekonjugovaný bilirubin = buněčný jed)
konjugovaná hyperbilirubinémie
Vzhledem k tomu, že není u novorozence vyvinutá hematoencefalická bariéra, dochází k průniku bilirubinu do mozkové tkáně (bilirubinová encefalopatie). Jsou zabarvena bazální ganglia a jádra hlavových nervů, vzniká přechodné nebo trvalé postižení centrální nervové soustavy (projev neurotoxicity).
- hemolytická nemoc novorozence (fetální erytroblastóza)
Terapie: aplikace lidského anti-D (Rh) imunoglobulinu (po zavedení anti – D profylaxe je výskyt vzácným jevem), výměna krve plodu po porodu (ev. intrauterinně). Anti-D imunoglobulin se aplikuje při těhotenství/porodu Rh (D) pozitivního dítěte, potratu / hrozícímu potratu, mimoděložním těhotenství nebo mole hydatidoze. Dále při transplacentárním krvácení vzniklém následkem předporodního krvácení, amniocentéze, biopsii choria nebo porodní manipulaci (např. změna polohy hlavičky plodu, úrazy břicha), léčbě Rh negativních osob po transfúzi Rh pozitivní krve, nebo po jiných produktech obsahujících červené krvinky.
- transfuze nesouhlasné krve – nestejná krevní skupina, rozdílný Rh faktor; nastává masivní rozpad erytrocytů; hemoglobin se vylučuje močí (hemoglobinurie); hemoglobin ucpává ledvinné tubuly, poškozuje výstelku kanálků, vzniká hemolytický šok, šoková ledvina s anurií a smrtí ze selhání ledvin
- crush syndrom – vzniká při úrazech s rozdrcením svalů; uvolňuje se bílkovina myoglobin, která působí na ledviny stejně jako hemoglobin; vzniká myoglobinurie a pacient umírá na selhání ledvin
Ikterus hepatotoxický
Erytrocyty jsou normální, poškozena jsou játra. Kůže je narůžovělá – mluvíme o rubínovém ikteru. Žluč se tvoří v malém množství, nebo se netvoří.
Příčiny:
Virová hepatitis
- hepatitis A – přenos orofekálně (nemoc špinavých rukou), potravou a vodou; inkubace 1 měsíc, probíhá většinou bez následků (očkování ano)
- hepatitis B – přenos parenterálně (krev, krevní deriváty, moč, sekrety žláz, pohlavní styk, z matky na dítě), inkubace až 6 měsíců (očkování ano)
- hepatitis C – přenos stejně jako u B hepatitidy, nemoc probíhá i několik let bez příznaků, přechod do chronicity
- hepatitis D – vzniká u lidí po prodělané hepatitidě typu B (preventivním očkováním proti žloutence typu B se předchází i možnému onemocnění žloutenkou typu D), má těžký průběh, často smrtelný
- hepatitis E – krátká inkubační doba, přenos kontaminovanou vodou a potravinami, nebezpečná pro matku i plod v posledním trimestru gravidity
Průběh hepatitid
- hepatitis acuta – lehká forma – člověk často o nemoci neví
- akutní hepatodystrofie – vznikají rozsáhlé nekrózy hepatocytů, smrt může nastat selháním jater. Často přechází do dalších forem.
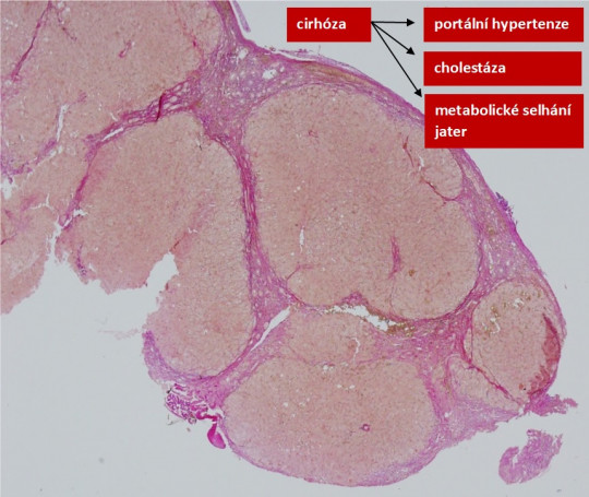
- hepatitis chronica – zánět trvale přetrvává, je různě intenzivní a mnohdy přechází v jaterní cirhózu (cirhosis hepatis)
Cirrhosis hepatis
Při jaterní cirhóze dochází k řadě změn:
- zmnožuje se vazivo s uzlovitou přestavbou jaterní tkáně
- klesá průtok krve játry, krev městná v portálním řečišti
- otevírají se portokavální a kavokavální spojky (spojky s horní nebo dolní dutou žílou); tvoří se jícnové varixy, rektální varixy
- ascites – tekutina v dutině břišní (příčinou je stagnace krve, přetlak, hypoalbuminemie)
- splenomegalie – zvětšení sleziny
- nedostatkem krevních faktorů z porušené funkce jater je snížená srážlivost krve (snížená tvorba bílkovin krevní plazmy fibrinogenu a protrombinu); nemocní umírají na vykrvácení z jícnových varixů nebo selhání jater
+

Obr. 18. Histologický preparát – cirhóza jaterní.
+

Obr. 19. Splenomegalie.
Ikterus obstrukční
Vzniká obstrukcí (uzavřením) žlučových cest a zástavou odtoku žluči do střeva. Příčinou bývá:
- kámen, nádor, zánět
- kůže je nazelenalá – verdinový ikterus a svědění
- stolice je světlá – acholická
- nepřítomností žluči nebo jejím sníženým množstvím je ovlivněna emulgace tuků s následkem poruchy vstřebávání tuků a vitamínů v tucích rozpustných (vitamín K – poruchy srážení krve)
- játra jsou zprvu zdravá, pak těžce poškozená