Kapitola6
Kardiovaskulární systém
6.1
Stavba srdce, dutin
  • srdeční sval je tvořen zvláštním druhem svaloviny příčně pruhované, membrány na povrchu buněk (kardiomyocytů) jsou vzájemně propojeny interkalárními disky (umožňují přenos vzruchu); podnět, který v srdci vzniká, vyvolá kontrakci obou síní a obou komor
  • srdce je dutý orgán kuželovitého tvaru; je uloženo mezi pravou a levou plící v dolní části předního mediastina, leží na centrum tendineum diaphragmy (blanité části bránice), 2/3 nalevo, 1/3 napravo
  • velikost srdce je asi 13x10 cm, hmotnost u novorozence činí 23 – 27g, u dospělého jedince 270 – 300 g (při zvětšení mluvíme o hypertrofii)
  • z anatomického hlediska rozdělujeme srdce na čtyři dutiny (atrium dx, et sin., ventriculus dx. et sin.)
  • z funkčního hlediska pomyslně rozlišujeme levou a pravou polovinu srdce (viz levostranná a pravostranná srdeční insuficience)
  • srdce jako endokrinní orgán – tvorba natriuretického peptidu (ANP) → vazodilatační účinek, zvyšuje vylučování Na+ močí → tím diurézu, snižuje aktivitu sympatiku
+
41. Uložení srdce
Obr. 41. Uložení srdce
+
42. Zevní popis srdce
Obr. 42. Zevní popis srdce
stavba srdeční stěny
+
43. Stavba srdeční stěny, srdeční dutiny (schéma)
Obr. 43. Stavba srdeční stěny, srdeční dutiny (schéma)
endokard
    • vystýlá srdeční dutiny, kopíruje nerovnosti srdečních dutin
    • jeho duplikatury jsou podkladem chlopní cípatých a poloměsíčitých (semilunárních)
    • je hladký, lesklý, nesmáčivý
myokard
    • svalovina je nejsilnější v oblasti levé komory, fyziologické rozmezí je 12 – 15 mm
    • je samostatně pro síně (povrchová a hluboká vrstva) a komory (povrchová, střední a hluboká vrstva)
    • svalovina tvoří na hrotu srdce vír (vortex cordis)
    • k základním vlastnostem srdeční svaloviny patří automacie, dráždivost, vodivost, stažlivost
epikard a perikard
    • povrch srdce je krytý epikardem, který srůstá se srdcem; podél cév vstupujících a vystupujících ze srdce přechází v zevní obal srdce – perikard
    • mezi epikardem a perikardem se nachází tekutina (liquor pericardií) v množství 5 – 30 ml (umožňuje skluznost obou listů při práci srdce)
+
44. Pohled na srdce mezi plícemi, nastřižený perikard
Obr. 44. Pohled na srdce mezi plícemi, nastřižený perikard
+
45. Pohled na vyjmuté srdce
Obr. 45. Pohled na vyjmuté srdce
+
46. Pohled na dutinu srdeční
Obr. 46. Pohled na dutinu srdeční
+
47. Chlopňový aparát
Obr. 47. Chlopňový aparát
+
48. Semilunární (poloměsíčité) chlopně
Obr. 48. Semilunární (poloměsíčité) chlopně
srdeční skelet
    • podkladem jsou vazivové snopce, které obkružují prostor atrioventrikulárního spojení, tj. oblast cípatých chlopní (anulus fibrosus dexter et sinister), ústí aorty (anulus aorticus) a ústí truncus pulmonalis (anulus trunci pulmonalis)
    • na srdeční skelet se upínají svalová vlákna síní a komor
    • srdeční skelet je nevodivý, jediným spojením mezi síněmi a komorami je převodní systém srdeční
cévní zásobení srdce
tepenné zásobení
    • arteria coronaria sinistra (levá věnčitá tepna) – její větve ramus interventricularis anterior (RIA), ramus circumflexus
    • arteria coronaria dextra (pravá věnčitá tepna) – její větev ramus interventricularis posterior
    • koronární tepny jsou první větví aorty, odstupují v místě semilunární chlopně aorty, mají omezený kolaterální oběh
    • spotřeba O2 činí v klidu asi 9 ml/100g/min
    • kyslík se v koronárních tepnách extrahuje téměř úplně
žilní odtok – věnčitý splav
    • vena cordis magna – velká srdeční žíla
    • vena cordis parva – malá srdeční žíla
    • vena cordis media – středová žíla
    • sbíhají se do sinus coronarius (věnčitého žilní splavu), ten ústí do pravé síně
+
49. Cévní zásobení srdce
Obr. 49. Cévní zásobení srdce
+
50. Koronární tepna – detail
Obr. 50. Koronární tepna – detail
+
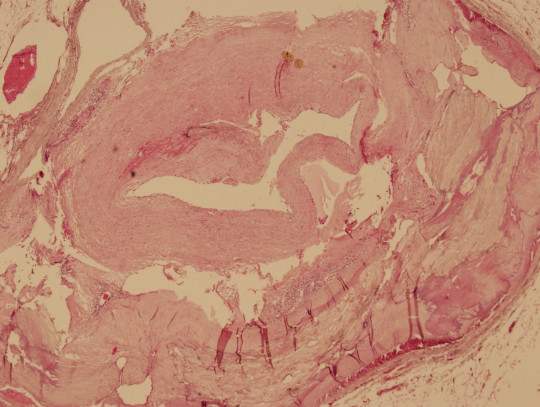
51. Koronární tepna – mikroskopický preparát
Obr. 51. Koronární tepna – mikroskopický preparát
energie pro srdeční činnost
Svalová kontrakce využívá energii adenozintrifosfátu (ATP). Zdrojem ATP pro kardiomyocyty jsou:
    • volné mastné kyseliny, ketolátky (ketolátky jsou produktem oxidace mastných kyselin, slouží jako dočasný zdroj energie, např. během hladovění nebo dekompenzovaného diabetu; srdeční sval je využívá přednostně)
    • glukóza, laktát (laktát – kyselina mléčná, je konečným produktem anaerobního metabolismu glukózy; jeho odbourávání probíhá zejména v játrech a srdci)
    • srdce využívá výhradně aerobního metabolismu, nemůže dlouhodobě pracovat na kyslíkový dluh
    • pro stažlivost srdečního svalu je nutná optimální hladina (iontové proudy) Na+, K+, Ca2+